Tag der Autonomie 2014

News 2015

  • Auslandsmobilität: Neue ESF-Ausschreibung wird am 27. Juni vorgestellt

    LPA - Die Landesabteilung Europa wird am Donnerstag, 27. Juni, in Bozen die neue ESF-Ausschreibung für die Einreichung von Pilotprojekten für die Auslandsmobilität vorstellen, die kürzlich auf der Webseite der Abteilung publiziert wurde.

  • Paul-Flora-Preisverleihung am 29. Juni in Glurns

    LPA - Der vom Bundesland Tirol und dem Land Südtirol gemeinsam gestiftete Paul-Flora-Preis geht in diesem Jahr an die aus Tirol stammenden und in Wien lebenden Kunstschaffenden Johanna Tinzl und Stefan Flunger. Die Preisverleihung findet am Samstag, dem 29. Juni, im Rathaus von Glurns statt. Die Kulturlandesrätinnen Sabina Kasslatter Mur und Beate Palfrader werden den Preis überreichen.

  • 28. Juni: Die Kräuter kommen

    LPA - Rund 120 verschiedene Heil- und Gewürzpflanzen wachsen in Südtirol; sie werden in Kräuterackern geerntet oder kommen in der freien Wildbahn vor. Am kommenden Freitag, 28. Juni werden am Oberhasler-Hof in Schenna Zahlen und Fakten zum Kräuteranbau in Südtirol vorgestellt und über das Kräuterfestival im Herbst informiert.

  • Landeszivilschutz: Erdbeben auch in Südtirol zu spüren

    Um 12.33 Uhr ist Norditalien heute (21. Juni) von einem Erdbeben mit Epizentrum in der nördlichen Toskana erschüttert worden. Wie der Landeszivilschutz mitteilt, sei das Beben auch in den oberen Stockwerken höherer Gebäude in Südtirol zu verspüren gewesen.

  • Marling: Dringende Arbeiten - Bahn Meran-Töll drei Tage außer Betrieb

    LPA - Aufgrund von dringenden Wartungsarbeiten am Gleisabschnitt beim Bahnübergang in Marling wird der Zugverkehr der Vinschgerbahn im Abschnitt Meran – Töll für drei Tage unterbrochen, und zwar von Dienstag, 25. Juni, bis einschließlich Donnerstag, 27. Juni. Ein Busersatzdienst für diese Teilstrecke wird eingesetzt.

  • Wohnbau: LR Tommasini setzt auf Bausparen und Sanieren

    Das Bausparen, die Wiedergewinnung von Bausubstanz in den Dörfern und Städten sowie das Vorstrecken der steuerlichen Absetzbeträge bei der energetischen Sanierung sind die Strategien der Wohnbaupolitik von Landesrat Christian Tommasini und sollen noch vor Legislaturende gesetzlich verankert werden.

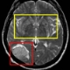
  • Innovative Therapien bei Schlaganfall: Interregionale Tagung in Bozen

    Interregionale Tagung zu Schlaganfällen in Bozen

    LPA - Experten aus Tirol, Trient und Südtirol befassen sich am 28. Juni in Bozen bei der Tagung „Iktus“ mit neuesten Erkenntnissen zur Vorbeugung, Diagnose und Therapie bei Schlaganfall. Die Tagung wird vom Landesamt für Krankenhäuser in der Landesabteilung Gesundheitswesen organisiert und vom EVTZ „Europaregion Tirol-Südtirol-Trentino“ unterstützt.

  • Kulturkooperationen mit Österreich: Keine Einbahnstraße mehr

    Ministerin Claudia Schmied beim Pressegespräch im Museion mit Landesrätin Sabina Kasslatter Mur. Foto: DiKOM/Arno Pertl.

    Eine gemeinsame Lehrerausbildung, die Förderung von Theatervorstellungen des Südtiroler Kulturinstituts oder eigene Studienrichtungen an österreichischen Universitäten: Die Liste der Kooperationen im Bildungs- und Kulturbereich zwischen Südtirol und Österreich ist lang. Heute (21. Juni) haben Österreichs Bildungs- und Kulturministerin Claudia Schmied und Landesrätin Sabina Kasslatter Mur im Bozner Museion Bilanz gezogen.

  • LH Durnwalder trifft Vertreter der Sprachorganisation "Dante Alghieri"

    LH Durnwalder im Gespräch mit den Vertretern der Sprachorganisation "Dante Alghieri" (FOTO:LPA/Pertl)

    LPA - Über eine mögliche Zusammenarbeit im Bereich der Zweisprachigkeitsprüfungen und ein Buchprojekt hat Landeshauptmann Luis Durnwalder diese Woche in Bozen mit den Vertretern der weltweit tätigen Gesellschaft zur Förderung der italienischen Kultur und Sprache „Dante Alighieri“ mit Generalsekretär Alessandro Masi an der Spitze gesprochen.

  • Innovation Festival: Vorschau mit LR Bizzo am 28. Juni

    Im vergangenen Jahr erlebte das Innovation Festival seine Premiere. Drei Tage lang stand die Bozner Innenstadt im Zeichen der Innovation. Auch heuer wird die Landes- wieder zur Innovationshauptstadt, und zwar vom 26. bis zum 28. September. Landesrat Roberto Bizzo wird am kommenden Freitag, 28. Juni, die Schwerpunkte des zweiten Innovation Festival vorstellen.


Seitenanfang

Fotos

Weitere Fotos


Seitenanfang